
*Ei, tudo bem por aí?* 😊 Sou Dr. Handrey , especialista em implantes dentários e protocolos como All on Four. Se você está lendo isso, provavelmente investiu em um implante e agora sente que algo não está certo – talvez desconforto persistente, uma estética que não agrada, dificuldade para mastigar ou uma adaptação que não ocorreu como esperado. Eu entendo perfeitamente: é uma situação frustrante e, por vezes, desanimadora, mas saiba que você não está sozinho! Muitos pacientes enfrentam desafios como esses, e a boa notícia é que, na grande maioria dos casos, existem soluções eficazes. Vamos conversar sobre o que fazer, passo a passo, de forma simples e positiva. Lembre-se: este conteúdo é para fins informativos e não substitui um diagnóstico ou conselho médico personalizado – sou um dentista, mas recomendo sempre uma avaliação profissional para o seu caso específico.

### Primeiro: Identifique o Que Está Errado e o Porquê
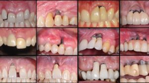
Não entre em pânico! O primeiro passo é refletir e identificar o que exatamente não te agrada ou está causando desconforto. É uma dor persistente ou latejante? A aparência do seu sorriso não corresponde às suas expectativas (cor, forma, alinhamento)? Há dificuldade para mastigar certos alimentos, ou a prótese parece solta ou instável? Anote esses pontos em detalhes – eles serão cruciais para a sua consulta.
Problemas com implantes podem surgir por diversas razões:
* *Falha na Osseointegração*: O implante não “pegou” bem no osso. Isso pode ser uma falha primária (logo após a cirurgia, devido a trauma, infecção ou sobrecarga precoce) ou secundária (após um período de sucesso, geralmente por peri-implantitis ou sobrecarga). O conceito de osseointegration, pioneiro de Brånemark nos anos 60, é a base para o sucesso a longo prazo.
* *Problemas Protéticos*: A coroa, ponte ou prótese (como a protocolo) pode estar mal ajustada, com formato inadequado, cor diferente dos dentes naturais, ou com problemas de oclusão (mordida).
* *Complicações Biológicas*: Inflamação da gengiva ao redor do implante (peri-mucositis) ou infecção óssea (peri-implantitis), que podem levar à perda óssea.
* *Danos Mecânicos*: Parafusos soltos, fratura de componentes protéticos ou do próprio implante (raro).
O importante é agir rapidamente ao notar qualquer sintoma para evitar que o problema se agrave e para garantir um prognóstico mais favorável.
### Passo 1: Volte ao Seu Dentista Original
O melhor ponto de partida é sempre agendar uma consulta com o profissional que realizou o procedimento. Ele já conhece seu histórico, o plano de tratamento original e os materiais utilizados. Leve consigo todas as informações que puder: fotos do antes e depois, anotações sobre seus sintomas, e se tiver, o plano de tratamento original e radiografias.
Pergunte abertamente: “O que podemos ajustar ou qual é a causa desse problema?” Muitos problemas, como uma inflamação inicial (peri-mucositis) ou um ajuste fino na prótese protocolo, podem ser resolvidos com pequenos retoques ou tratamentos menos invasivos. Se, por algum motivo, você sentir que não há abertura para diálogo, que suas preocupações não são levadas a sério, ou que a solução proposta não te convence, não hesite em buscar uma segunda opinião – é seu direito e, muitas vezes, uma atitude prudente para sua saúde e bem-estar.
### Passo 2: Considere Opções de Correção com um Especialista
Dependendo do diagnóstico preciso do problema, há diversos caminhos para um sorriso renovado e funcional. Um especialista em implantodontia ou prótese dentária poderá oferecer as melhores opções:
* *Ajustes Simples e Protéticos*: Muitas vezes, a solução está em pequenos refinamentos. Isso pode incluir o re-contorno da coroa para melhorar a estética ou a oclusão, o ajuste da mordida (occlusal adjustment), a substituição de um abutment (componente que liga o implante à prótese) ou até mesmo uma remodelação gengival (gingivoplasty) para harmonizar a linha da gengiva.
* *Manutenção Avançada e Tratamento de Complicações Biológicas*: Para casos de peri-mucositis ou peri-implantitis, tratamentos específicos são necessários. Isso envolve limpeza profunda profissional com instrumentos ultrassônicos e curetas de titânio para remover biofilme e cálculo, uso de laserterapia para descontaminação, e em alguns casos, terapia antibiótica. Para próteses protocolo, a manutenção regular e o reforço da fixação dos parafusos protéticos são cruciais para a longevidade.
* *Revisão Total e Reabilitação Complexa*: Em situações mais raras e complexas, onde há falha completa do implante, perda óssea significativa ou danos estruturais, pode ser necessária a remoção do implante e sua recolocação. Nesses casos, técnicas avançadas como enxerto ósseo (bone grafting) ou regeneração óssea guiada (guided bone regeneration – GBR) podem ser empregadas para reconstruir o volume ósseo necessário antes de um novo implante. Pense nisso como uma “segunda chance” para o seu sorriso, com o uso de materiais e técnicas modernas que garantem um resultado mais previsível e duradouro.
Lembre-se: a implantodontia moderna, inspirada na herança de Brånemark, foca na durabilidade e na integração natural ao osso. Com um diagnóstico preciso, um plano de tratamento adequado e a manutenção correta, implantes podem durar décadas, proporcionando conforto e confiança.
### Dicas Rápidas para Aliviar o Desconforto Agora
Enquanto você agenda e aguarda sua consulta, experimente essas ideias didáticas e práticas para aliviar o desconforto e evitar que o problema se agrave:
* *Higiene Suave e Específica*: Mantenha uma higiene bucal rigorosa, mas com suavidade. Use uma escova de dentes com cerdas macias, fio dental específico para implantes (como o super floss ou fitas dentais), e considere o uso de escovas interdentais ou um irrigador oral (water flosser) para limpar ao redor do implante. Isso é crucial para prevenir ou controlar inflamações como a peri-implantitis.
* *Alimentação Amiga*: Opte por alimentos moles e frios para reduzir a pressão e o inchaço na área afetada. Evite alimentos muito duros, pegajosos ou crocantes que possam agravar o desconforto ou danificar a prótese temporariamente.
* *Relaxamento e Manejo da Ansiedade*: O estresse pode intensificar a percepção da dor. Técnicas de respiração profunda, meditação guiada ou aplicativos de relaxamento podem ajudar a gerenciar a ansiedade e o desconforto enquanto você aguarda a avaliação profissional.
> *Dica Encantadora*: Imagine seu sorriso como uma obra de arte em progresso. Com paciência, o diagnóstico correto e o profissional certo, ele vai brilhar novamente, refletindo a confiança e a beleza que você merece!
### Próximos Passos: Vamos Resolver Isso Juntos?
Se você se identificou com alguma dessas situações, não espere mais. O tempo é um fator importante na odontologia. Marque uma avaliação em minha clínica! Vamos analisar seu caso de forma abrangente, utilizando tecnologias de diagnóstico avançadas como radiografias digitais e, se necessário, tomografia computadorizada de feixe cônico (CBCT) para uma visão 3D detalhada da sua estrutura óssea e dos implantes. Teremos um papo honesto sobre as causas do problema e as melhores opções de tratamento personalizadas para você.
Compartilhe sua história nos comentários abaixo: qual foi sua experiência? Suas dúvidas e relatos podem inspirar e ajudar outros leitores que passam por situações semelhantes. 😄