Eu Fiz um Implante Dentário e Não Gostei. O Que Eu Faço Agora?
*Ei, tudo bem por aí?* 😊 Sou Dr. Handrey , [...]
*Ei, tudo bem por aí?* 😊 Sou Dr. Handrey , [...]
Se você está aqui porque notou que seu implante dental [...]
Se você está considerando implantes dentários, a técnica de carga [...]
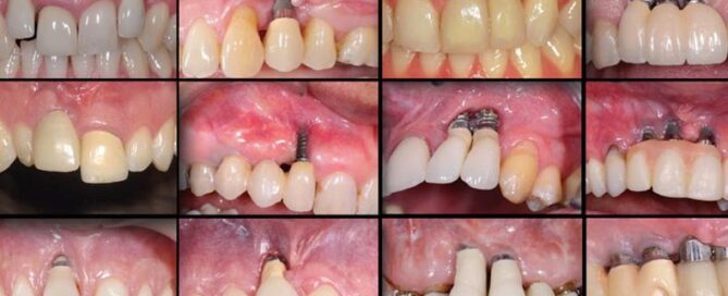
Quando o Sonho do Sorriso Encontra um Desvio: Entendendo os [...]
Enquanto o All-on-4 (ou All-on-Four) é indicado para pacientes com [...]
Muitos pacientes sonham em voltar a sorrir com confiança, mas [...]
Imagine entrar no dentista para colocar um implante e descobrir [...]
O Doutor Protocolo, Handrey Prosdocimo, participou do Neodent Congress, que [...]
As doenças conhecidas por atrofia de maxila e atrofia de [...]